Dr. Sameer Desai – Clubfoot Expert

Understanding Fibrous Dysplasia: Causes, Symptoms, and Treatment Options

Welcome to our website, where we aim to provide valuable information about various medical conditions to help you better understand your health. In this article, we will delve into the topic of Fibrous Dysplasia, a rare bone disorder, and discuss its causes, symptoms, and treatment options. We are also pleased to introduce Dr. Sameer Desai, a pediatric orthopedic surgeon in Pune, who specializes in treating this condition.

What is Fibrous Dysplasia?

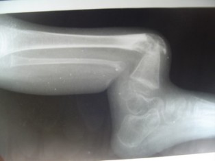
Fibrous Dysplasia is a rare skeletal disorder that affects bone development and growth. It occurs when normal bone tissue is replaced with fibrous tissue, resulting in weakened and irregularly shaped bones. This condition can affect one bone (monostotic) or multiple bones (polyostotic), and it may manifest in childhood or adulthood. While theexact cause of Fibrous Dysplasia is not fully understood, it is often attributed to genetic
mutations.

Symptoms of Fibrous Dysplasia:
The symptoms of Fibrous Dysplasia can vary depending on the severity of the condition and the bones affected. Common symptoms include:

Bone Pain: Individuals with Fibrous Dysplasia may experience bone pain, which
can be mild to severe and often worsens with physical activity.
Bone Deformities: The affected bones may become deformed, leading to an uneven appearance, unequal limb lengths, and a higher susceptibility to fractures.

Limited Mobility: Bone deformities can lead to reduced range of motion in joints and difficulty in performing everyday activities.

Skin Changes: In some cases, the overlying skin may appear discolored or have a noticeable texture due to the underlying bone changes.
Treatment Options:

Dr. Sameer Desai, a highly regarded pediatric orthopedic surgeon based in Pune, specializes in the diagnosis and treatment of Fibrous Dysplasia. He employs a multidisciplinary approach to provide personalized care to his patients.

Treatment options for Fibrous Dysplasia may include:

Medications: In some cases, medications can help manage pain and slow down bone growth. Bisphosphonates are commonly prescribed to reduce bone pain and prevent fractures. Surgery: For more severe cases, surgical intervention may be necessary. Dr. Sameer Desai is skilled in performing surgical procedures to correct bone deformities, stabilize fractures, and improve the overall function and appearance of the affected area.

Physical Therapy: Physical therapy can play a crucial role in improving mobility, strength, and range of motion in affected joints.

Ongoing Monitoring: Regular follow-up appointments with a specialist like Dr. Sameer Desai are essential to monitor the progression of the condition and adjust treatment plans as needed.

If you or your child is experiencing symptoms of Fibrous Dysplasia, it’s  important to seek professional medical advice. Dr. Sameer Desai's expertise in pediatric orthopedics and his commitment to patient-centered care make him an excellent choice for diagnosis, treatment, and ongoing management of this condition

.In conclusion, Fibrous Dysplasia is a complex bone disorder that requires specialized medical attention. Dr. Sameer Desai's dedication to providing comprehensive care and his expertise in pediatric orthopedics make him a trusted partner in the journey towards
better bone health. If you’re in Pune or the surrounding areas and need expert guidance for Fibrous Dysplasia or any other orthopedic concerns, don’t hesitate to reach out to Dr. Sameer Desai. Your bone health is in capable hands.

Fibrous-dysplasia Treatment in Pune
Best Fibrous-dysplasia Treatment in Pune
Best Fibrous-dysplasia Treatment in Pune
Best Fibrous-dysplasia Treatment in Pune