Dr. Sameer Desai – Clubfoot Expert

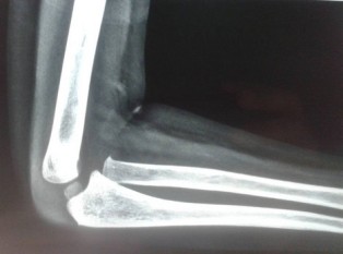
Long bone fractures of children have a very good potential of remodelling. However there are certain criteria which determine the degree of remodelling that takes place. In general, younger children have greater potential of remodelling. Fractures close to joint also have greater potential to remodel. Malunion in the direction of joint axis is better tolerated by patient than rotational malalignment. It is better that fractures are fixed correctly at the time of injury. Reading radiographs of children is difficult and hence a specialist is required.They can be treated with plaster or with nailing and plating. Below are three examples of fracture which were malunited and hence needed to be operated again.

Best Malunited fractures Treatment in Pune

Malunited fractures, in which the bones mend in an incorrect position following a fracture, are the specialty of Dr. Sameer Desai, a top Pediatric Orthopedic Surgeon in Pune. He uses advanced corrective techniques to ensure proper alignment, function, and mobility in children. For expert Malunited Fracture care in Pune, contact Dr. Sameer Desai right now!