Dr. Sameer Desai – Clubfoot Expert

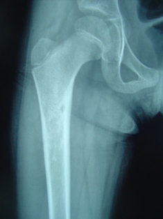
The child will complain of severe pain in the bone or near joint at night which is relieved by analgesic (combiflam). The pain is so severe that the child will wake up at night and cry and will stop only after pain medication is given. This will not be related to activity and will happen on a daily basis. It is a benign lesion. Radiograph will show a nidus surrounded by sclerotic bone. CT scan may be required for diagnosis. Surgical excision of nidus is indicated and it gives immediate relief. The patient will have no pain from the next day of surgery. Radio frequency ablation of lesion is also being done in select centers for specific location.

Say Goodbye to Osteoid Osteoma Pain! Dr. Sameer Desai, a skilled Pediatric Orthopedic Surgeon in Pune, offers expert care for children, better bone health. Contact now!

Best Osteoid-osteoma Treatment in Pune
Best Osteoid-osteoma Treatment in Pune